Diseñado específicamente para usuarios de atención primaria, el Consona presenta soluciones nuevas y concretas que lo ayudan de manera eficiente a realizar diagnósticos sin problemas para tipos extensos de pacientes. No importa si su rutina es en hospitales, clínicas o si está perfeccionando habilidades, encontrará herramientas altamente poderosas disponibles en esta serie para mantenerse a la vanguardia e inspirarlo con sentimientos de confianza, conveniencia y conducción. Diseñado específicamente para usuarios de atención primaria, el Consona presenta soluciones nuevas y concretas que lo ayudan de manera eficiente a realizar diagnósticos sin problemas para tipos extensos de pacientes. No importa si su rutina es en hospitales, clínicas o si está perfeccionando habilidades, encontrará herramientas altamente poderosas disponibles en esta serie para mantenerse a la vanguardia e inspirarlo con sentimientos de confianza, conveniencia y conducción. 1) Adquisición acústica avanzada. 1) Adquisición acústica avanzada. Productos / Intitucionales

Mindray Consona N8
Sistema de Diagnóstico por Imagen Concreto para resonar.
Cardiología Cardiovascular Ginecología FlebologíaImagen General Radiología Urología Vascular Características

Mindray Consona N8
Sistema de Diagnóstico por Imagen Concreto para resonar.
Cardiología Cardiovascular GinecologíaImagen General Radiología Urología VascularFlebología Características


Flujo de trabajo y rendimiento – Solución completa con tecnología de ZST +
2) Enfoque dinámico de pixel.
3) Compensación de velocidad de sonido.
4) Imagen de recuperación total. Flujo de trabajo y rendimiento – Solución completa con tecnología de ZST +
2) Enfoque dinámico de pixel.
3) Compensación de velocidad de sonido.
4) Imagen de recuperación total.
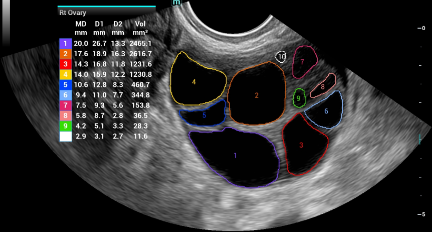
Galería de imagenes

RIMT

Kidney HR Flow

CARDIACO 4CH TVD

TISSUE TRACKING

CARA FETAL 3D PRINT

CARA FETAL iLive

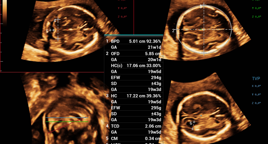
SMART CNSMEAS

COLUMNA VERTEBRAL FETAL 3D

SMART FLC 2D

ELASTOGRAFIA SHARE WAVE
